審美歯科・美容歯科|野洲市にある歯科・矯正歯科なら|いちい歯科・こども矯正歯科

〒520-2351滋賀県野洲市冨波甲1158−5

077-587-3611

WEB予約
下層メインビジュアル

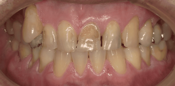
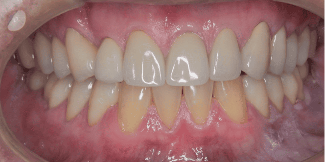
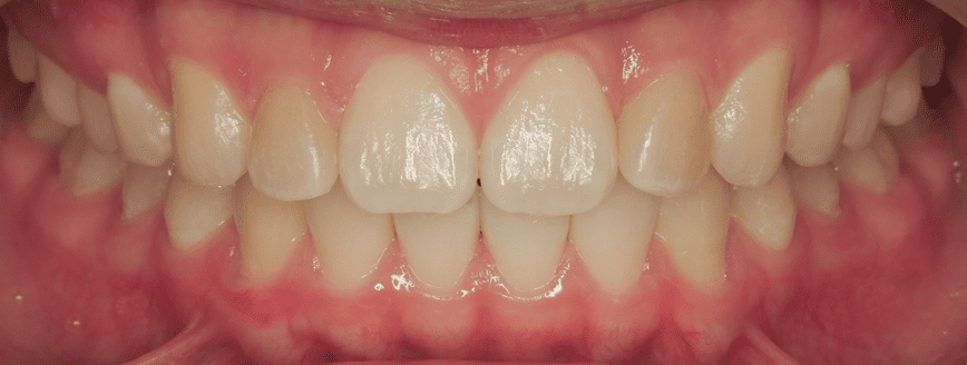
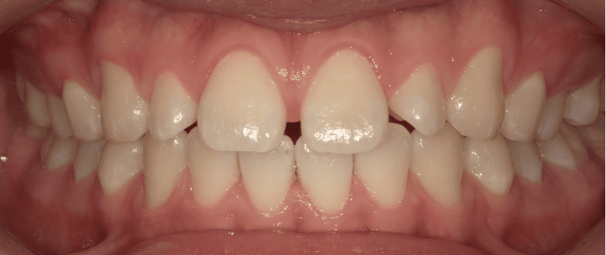
審美歯科・美容歯科

審美歯科・美容歯科|野洲市にある歯科・矯正歯科なら|いちい歯科・こども矯正歯科

TOP