口の中の細菌数は10兆個以上といわれ、そのうち、むし歯の原因となる酸を作る酸産生菌が70~80%を占めると考えられています。酸を作る代表的な細菌がミュータンス菌です。ミュータンス菌は飲食物の糖分を摂取・分解して酸を作り出します。この酸によって歯が溶かされますが、人の唾液には酸を中性に近づける働きがあり、また、カルシウムやリン酸を含み、これらの作用で溶かされた歯は修復されています。しかし、糖分の摂取が頻繁であったり、歯みがきの状態が悪かったりすると、酸の緩衝や修復が追いつかず、歯が溶けた状態が続くことになります。その部分は放置すると直に崩壊し、むし歯となります。
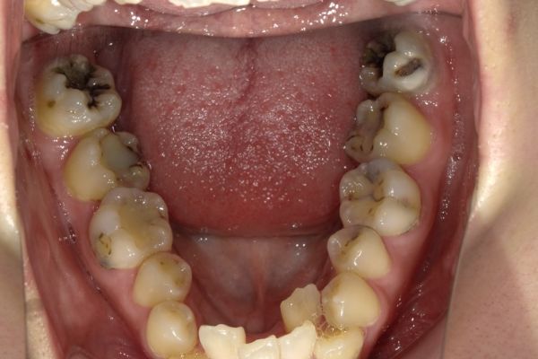
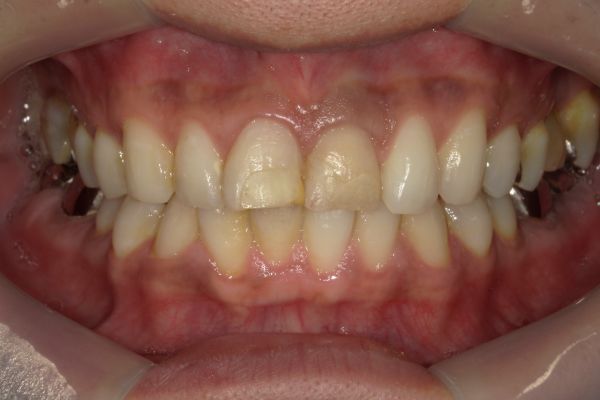
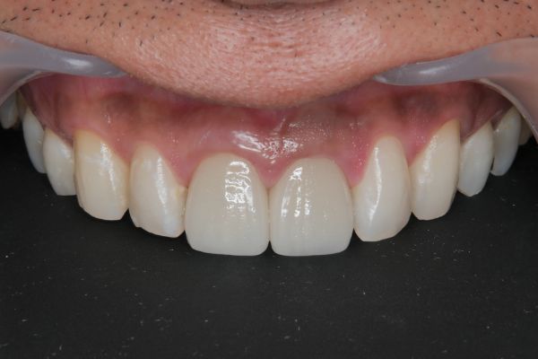
むし歯治療











